SMILE MAKEOVERS
Results to smile about
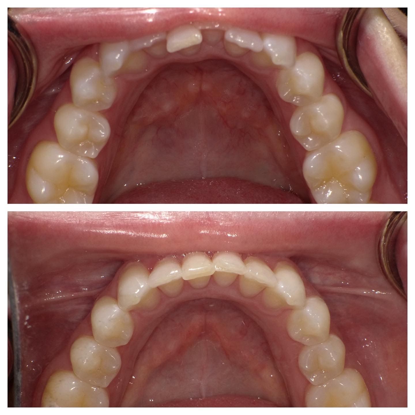
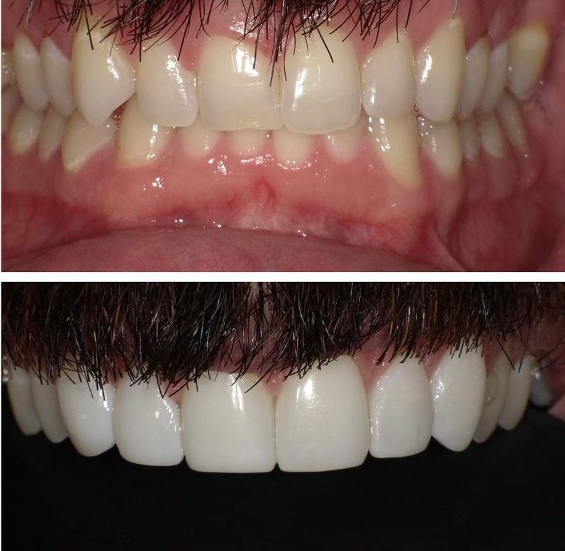
SMILE Makeovers
Happy patient smiles say it all. We love helping people enjoy an increased quality of life by having the healthy, beautiful smiles they have always wanted. Take a moment to look through our smile gallery of our actual patients and imagine the possibilities when it comes to your own smile!
DO YOU...
WANT
To
IMPROVE
Your
SMILE?
Our online consults haven’t stopped! We’re working hard to make sure your dental needs don’t have to wait. Connect with us today and get all of your questions answered for free in 3 easy steps.
Upload a smile photo or area of concern
We will create a personalized video with recommendations
Watch your video and schedule an appointment













































